Do you have discoloured teeth?
Discoloured teeth can be caused by smoking, red wine, tea, coffee, antibiotics (especially as a child) or simply by the natural passage of time.
But don’t despair!
Brightening your teeth is one of the best ways to improve your smile and give it a sparkling shine, and you can see dramatic results at home in as little as two weeks.
At Causeway Dental our safe, simple and effective tooth whitening treatment offers:
Tooth Whitening
Got a question about our tooth whitening?
We have some FAQs below but please feel free to chat with one of our team if you would like to find out more.
028 276 63808 or email us here info@causewaydental.com
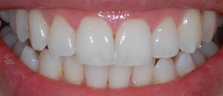
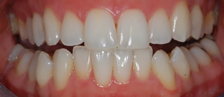
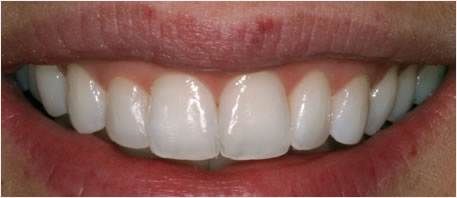
Before Treatment
After Treatment
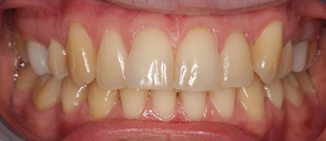
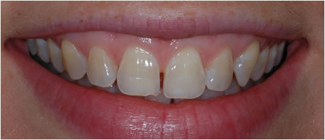
Before Treatment
After Treatment
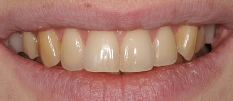
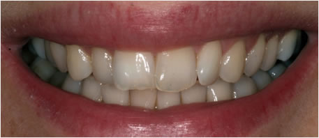
Before Treatment
After Treatment
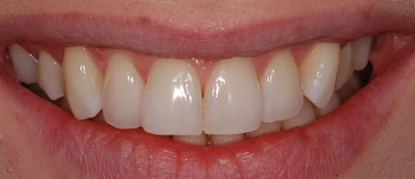
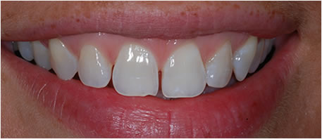
Before Treatment
After Treatment
Before Treatment
After Treatment
We would love to help you through your tooth whitening journey.
You can contact us on
028 276 63808
Or
email us here info@causewaydental.com
Or
you can fill in our online form at the bottom of this page. Just click the button below.
WILL THE TREATMENT DAMAGE MY TEETH?
As long as your teeth are healthy and you follow our instructions carefully there should be no damage to your teeth at all. We use a safe and proven treatment to reduce the risks as much as possible and we will perform a full assessment before we begin any treatment.
WILL THE TREATMENT HURT?
Generally, the whitening process doesn’t cause any pain or discomfort. However, some people will feel a slight increase in sensitivity during the process and occasionally for a short time after. If you already have sensitive teeth we may recommend a desensitising toothpaste or gel until your teeth settle.
WILL THE TREATMENT WHITEN MY VENEERS/CROWNS/FILLINGS?
Unfortunately, the whitening agents in our treatment will only react to your natural tooth enamel and will have no effect on your veneers, crowns or fillings, which are usually made of porcelain or resin-composite materials.
Advice for Aftercare
Take care with hot food and drinks as your teeth may be more sensitive during treatment.
To treat any sensitivity we recommend using Sensodyne or similar toothpastes.
Treatment usually consists of 10 - 15 applications of the whitening gel.
During your treatment it is vital that you rinse your application trays in cold water as any heat is liable to distort their shape.
Please fill in your details below and a member of our team will be in touch with you shortly. We look forward to seeing you soon.
If you choose to become a regular Causeway Dental patient we offer a wonderful Membership Plan to make sure you get the most for your money.
MEMBERSHIP BENEFITS